C2C12成肌細胞外泌體通過miR-27a-3p促進前成骨細胞MC3T3-E1成骨分化
英文標題:
Exosomes from C2C12 myoblasts enhance osteogenic differentiation of MC3T3-E1 pre-osteoblasts by delivering miR-27a-3p
發表雜志:
Biochemical and Biophysical Research Communications
影響因子:2.559
合作單位:山東省醫學科學院
研究背景
越來越多的證據表明,骨與肌肉組織可以影響葡萄糖、能量等代謝。最近,已有報道骨骼和肌肉也可以通過內分泌方式相互調節。并且已確定了一系列參與相互調節的肌肉或骨骼調節劑。關于影響骨形成的候選肌因子(myokines ),胰島素樣生長因子-1(IGF-1)、成纖維細胞生長因子-2(FGF-2)、骨甘氨酸、FAM5家族、白細胞介素-7(IL-7)、IL-5、鳶尾素、卵泡抑素、骨粘連蛋白和基質金屬蛋白酶-2(MMP-2)作為成骨促進劑,而肌抑素、轉化生長因子-β(TGF-β)、激活素、IL-6、睫狀神經營養因子(CNTF)、單核細胞趨化蛋白-1(MCP-1)作為抑制劑,都屬于分泌蛋白。
外泌體是由包括肌肉細胞在內的大多數細胞分泌的小囊泡。最近的研究表明,外泌體在細胞通訊中發揮關鍵作用,通過轉移生物活性分子(蛋白質、脂質、mRNA、microRNA)來調節同質和異質受體細胞的功能和分化。例如,作者前期研究表明,成骨細胞衍生的外泌體可以將microRNA載入間充質干細胞,并通過激活Wnt信號通路促進靶細胞的成骨。
考慮到外泌體在細胞通訊中的作用,作者推測外泌體microRNAs是否也可以作為調節骨代謝的特殊“肌細胞因子”。在這項研究中,作者首次提供體外研究證據,證明成肌細胞衍生的外泌體可以進入成骨細胞,促進成骨細胞分化。此外表明miR-27a-3p是這種效應的關鍵外泌體成分。
研究方法
- 細胞培養與成骨誘導分化:小鼠C2C12細胞培養富集外泌體,MC3T3-E1被誘導骨分化。
- 外泌體富集及miRNA-seq:C2C12細胞外泌體富集,進行miRNA-seq(n=4)。
- 外泌體標記與MC3T3-E1細胞共孵育:觀察攝入現象。
- 敲低C2C12中 miR-27a-3p表達,進行RT-PCR定量。
- RT-PCR定量成骨分化標記基因,ALP(堿性磷酸酶)活性測量和茜素紅染色。
- MC3T3-E1 Western blot及免疫熒光:驗證APC及β-catenin活化。
研究結果
1、C2C12成肌細胞分泌的外泌體可以進入前成骨細胞MC3T3-E1,促進其成骨分化。
將外泌體標記與MC3T3-E1共孵育,觀察到這類外泌體(myo-exosomes)能夠被MC3T3-E1細胞攝入。并且MC3T3-E1細胞的成骨分化也能夠被促進,表現為增強的ALP活性,基質礦化增強,與標記基因ALP/OCN/RUNX2表達上調。對C2C12成肌細胞分泌的外泌體進行小RNA測序,基于測序結果,鑒定出來的miRNA進行共有分析,其中有12個miRNA分子高表達,一些功能被證實的與成骨相關的miRNA分子,例如miR-27a-3p也包括在內。
![]() |
![]() |
2、外泌體的miR-27a-3p在成骨分化中發揮重要作用。
當MC3T3-E1細胞攝入C2C12外泌體后,miR-27a-3p的表達水平升高。進一步敲低miR-27a-3p的表達,C2C12外泌體沒有起到促進MC3T3-E1成骨分化的作用。這一結果表明了成肌細胞外泌體依賴于miR-27a-3p發揮促成骨作用。

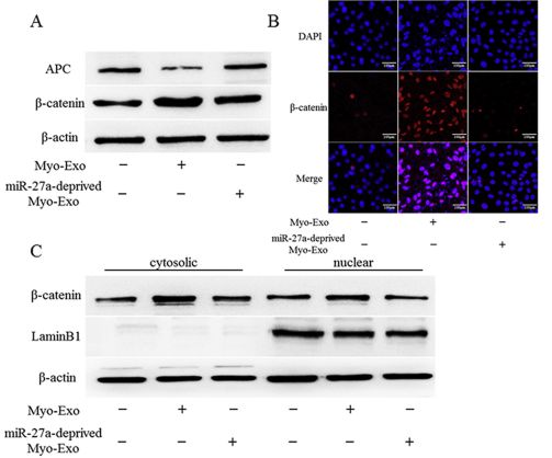
3、C2C12外泌體改變 MC3T3-E1細胞中miR-27a-3p的表達,靶向APC從而激活Wnt/β-catenin pathway。
在成骨分化過程中,Wnt/β-catenin pathway起到重要作用,APC作為該通路的負調節蛋白已被證實直接受miR-27a-3p調控。MC3T3-E1攝入外泌體后,APC的表達受到明顯抑制,β-catenin的表達顯著升高且被激活。當miR-27a-3p敲低后,外泌體對APC-β-catenin pathway沒有影響。

總結
成肌細胞外泌體可以進入前成骨細胞,并促進成骨分化。該效應依賴于外泌體中的miR-27a-3p釋放,隨之引起前成骨細胞中的β-catenin通路活化。文章研究對肌因子調控肌肉-骨互作提供了新見解,并且強調了成肌細胞外泌體miR-27a-3p作為肌肉相關的異常骨重建的指標和互作靶標的可能性。
參考文獻:
Xu Q, Cui Y , Luan J , et al. Exosomes from C2C12 myoblasts enhance osteogenic differentiation of MC3T3-E1 pre-osteoblasts by delivering miR-27a-3p. Biochemical and Biophysical Research Communications, 2018.
如果您的項目有任何問題,歡迎聯系我們,我們將給您滿意的答復。





京公網安備 11011302003368號