原核表達(Prokaryotic expression) 顧名思義是在原核生物體內進行的蛋白表達。一般是通過基因克隆(Gene cloning)技術在體外構建好原核表達載體,轉化到原核生物的細胞中,添加誘導劑進行蛋白誘導表達,這是目前分子生物學實驗中常見的方法。
原核表達載體
體外誘導目的蛋白的表達需要將攜帶有目的基因片段的原核表達載體導入表達菌株中,通過添加適量的誘導劑,使目的蛋白的表達量升高。
蛋白誘導表達
1.原核表達方案:
將原核表達載體導入原核生物表達菌株中,將平板上的單克隆先接種至0.2 ml的抗性液體培養基中,進行擴大培養。進而轉接到5 ml抗性液體培養基中,待菌液OD值為0.6-0.8時,加入誘導劑進行誘導。通常情況下菌液OD值0.6最佳,OD值超過1.0后,菌體老化,不適合進行誘導表達。加入IPTG誘導劑,100mM的IPTG溶液, 添加的比例為1:100,1M濃度的IPTG溶液, 添加的比例為1:1000,此時TPTG終濃度為1mM。建議在添加誘導劑前吸取1 ml 未誘導的菌液作為對照,有些情況下未誘導會有本底滲漏表達,表達量很低。
2.融合蛋白存在形式的影響因素:
溫度:一般來說,大腸桿菌最適合的培養溫度是37℃,但在此溫度下容易使得蛋白翻譯速度太快,來不及正確折疊,形成以包涵體形式表達的蛋白。上清是具有生物學活性的蛋白,后續制備抗體優先選擇以上清形式表達的蛋白。優化:可以嘗試做溫度梯度,16℃, 20℃,24℃,30℃。嘗試低溫誘導。
誘導劑:誘導劑濃度一般可以嘗試0.2 mM 、0.4 mM、0.6 mM、0.8 mM、1.0 mM 1.5 mM、2 mM的IPTG濃度, 濃度太高容易對細胞產生毒性。
誘導時間:嘗試 3 h、6h、8h、10h、12h, 依據不同蛋白所決定,誘導過程中添加適量抗生素可能有好的效果。根據每個蛋白的不同,誘導時間對于表達量的影響不盡相同。
3.表達形式:超聲破碎后離心分為兩部分,一部分是上清,一部分是沉淀,上清具有生物學活性。沉淀不具有生物學活性。
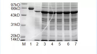
4.蛋白定量:SDS-PAGE蛋白膠可以觀測蛋白的分子量和濃度,蛋白Marker是分子量指示大小,估計marker條帶大小估算目的蛋白分子量大小。用BSA標準品溶液定量蛋白,可以估測蛋白濃度。
M: marker 1:0.5 mg/ml BSA(上樣量10 μL)2:0.5 mg/ml 目的蛋白溶液(上樣量2 μL) 3-7:0.5 mg/ml 目的蛋白溶液(上樣量10μL)
5.蛋白定性

產品概述
利用LC-MS/MS蛋白鑒定技術對膠條樣本(即SDS-PAGE樣本)、IP、co-IP、Pull-down等復雜樣本進行鑒定。
技術原理
質譜一般由離子源(Ion source)、質量分析器(Mass analyzer)和離子檢測器(Detector)三部分組成。傳統的質譜僅用于小分子揮發物質的分析,但隨著新的離子化技術的出現,如基質輔助激光解析電離飛行時間質譜(MALDI-TOF)和電噴霧電離質譜(ESI-MS)等,質譜技術的出現為蛋白質分析提供了一種新的途徑。現在蛋白質組學基本研究手段是:以生物質譜技術為核心,對蛋白質進行大規模、高通量分離、鑒定和分析。
蛋白質質譜鑒定的基本原理是用蛋白酶將蛋白質消化成肽段混合物,經MAILDI或ESI等軟電離手段將其離子化,然后通過質量分析器將具有特定質核比的肽段離子分離開來。通過實際譜圖和理論上蛋白質經過蛋白酶消化后產生的一級質譜峰圖和二級質譜峰圖進行的比對,進行蛋白鑒定。
實驗流程
技術優勢
高通量,一次可鑒定多種蛋白質;
靈敏度高,可檢測樣品濃度較低的膠點;
通用性強,可分析蛋白質條帶、免疫共沉淀洗脫液等多種形式的樣品。
液相與質譜連用,自動化操作,分析速度快,分離效果好。
應用范圍
蛋白質膠點鑒定
蛋白質膠條鑒定
蛋白混合溶液鑒定
蛋白質組學服務
除了蛋白定性鑒定,百邁客還提供以下產品:





京公網安備 11011302003368號