單細胞多組學已經廣泛應用于腫瘤研究,但是單細胞技術在腫瘤治療前后取材,特別是治療后很多臨床樣本無法精準取到相應靶組織,今天給大家推薦的一篇文章,可以給我們帶來單細胞技術在三陰性乳腺癌單抗免疫治療以及單抗聯合紫杉醇化療的應用,全面揭示在三陰性乳腺癌(TNBC)中,聯合化療和檢查點抑制劑(免疫檢查點阻斷ICB)單細胞水平的機制,以及取材指導。
百邁客提供全面的單細胞空間轉錄組系列檢測服務,包括單細胞(核)轉錄組、空間轉錄組、單細胞免疫組庫、單細胞ATAC-seq、單細胞ATAC&GEX、單細胞全長轉錄組,年底活動更是優惠多多,詳情可見:享年末,抄底價,豐富好禮超乎你想象!

英文題目:Single-cell analyses reveal key immune cell subsets associated with response to PD-L1 blockade in triple-negative breast cancer
發表雜志:Cancer Cell
影響因子:31.7
發表日期:20211013
發表單位:中國醫學科學院腫瘤醫院 北京大學生物醫學前沿創新中心
研究背景
免疫檢查點封鎖(ICB)靶向免疫調節通路,如PD -1/ PD-L1信號通路,在部分癌癥患者中實現了硬腦膜反應,盡管有了很好的臨床進展,但ICB耐藥的基本機制仍不清楚。單細胞技術的發展使全面表征腫瘤浸潤免疫細胞的基本特性成為可能,在腫瘤微環境(TME)中已經鑒定出廣泛的T細胞亞群。
三陰性乳腺癌(TNBC)是一種侵襲性乳腺癌(BC)亞型,治療選擇有限。盡管ICB在TNBC治療中顯示出了希望,但臨床研究觀察到了適度的反應,促進了ICB聯合化療的探索。在三陰性乳腺癌(TNBC)中,聯合化療和檢查點抑制劑(免疫檢查點阻斷ICB)的好處還不是很清楚。盡管ICB在TNBC治療中顯示出希望,但臨床研究觀察到保守的反應促進了ICB聯合化療的探索。
2021年10月14日,中國醫學科學院腫瘤醫院聯合北京大學生物醫學前沿創新中心在國際期刊Cancer Cell上在線發表了題為“Single-cell analyses reveal key immune cell subsets associated with response to PD-L1 blockade in triple negative breast cancer”的研究論文,該團隊結合單細胞RNA- seq、TCR-seq和ATAC-seq等技術,研究紫杉醇(paclitaxel,化療)聯合anti-PD-L1抗體阿替利珠單抗(atezolizumab 免疫治療)治療TNBC(三陰性乳腺癌)患者腫瘤微環境和外周血中的免疫細胞動力學,揭示應答者和無應答者的免疫特征,紫杉醇化療聯合阿替利珠單抗免疫治療在TNBC治療中的機制和相互作用。

圖1. 文章思路和結論導圖
研究方法
在該課題的研究人員收集了來自22例TNBC患者(11例接受阿替利珠單抗聯合紫杉醇化療,11例接受紫杉醇單藥化療)治療前和治療后的78例配對樣本,通過整合單細胞轉錄組測序、T細胞受體序列測序和染色質可及性測序,構建了TNBC患者腫瘤微環境和外周血來源免疫細胞的高分辨率轉錄組和表觀組動態圖譜。該研究在單細胞水平上對來自接受兩種治療方案的TNBC病人的腫瘤組織和外周血的免疫細胞動態分析,系統比較了應答患者和非應答患者的腫瘤微環境及外周血免疫特征,闡明了免疫細胞在不同治療方案下的動態變化,揭示了anti-PD-L1免疫治療聯合紫杉醇化療在TNBC中的作用機制。
研究結論
● 在抗PD- L1免疫治療后TNBC中發現動態免疫細胞改變;
● CD8-CXCL13和CD4-CXCL13 T細胞預測PD-L1阻斷有效反應;
● 表達CXCL9的促炎巨噬細胞與CXCL13+T細胞相關;
● 紫杉醇損害由阿特珠單抗引起的應答免疫細胞的擴張;
● 突出了CXCL13+T細胞在有效應對抗PD-L1療法方面的重要性,并表明通過紫杉醇療法減少這些細胞可能會損害伴隨阿特珠單抗 (Atezolizumab)進行TNBC治療的臨床結果。
實驗材料
材料:22例TNBC患者(11例接受阿替利珠單抗聯合紫杉醇化療,11例接受紫杉醇單藥化療),一共78例樣本:治療前15例組織樣本、21例血液樣本;治療后13例組織樣本、20例血液樣本;治療進展期2例組織,7例血液樣本。

圖2. 實驗材料與方法
方法:scRNA-seq(10x Genomics)、scTCR-seq、scATAC-seq等
圖3. 實驗患者取材以及預后信息
本研究通過兩種治療手段(阿替利珠單抗聯合紫杉醇化療,紫杉醇化療),在基線、治療開始后4周和疾病進展時共采集了78例腫瘤活檢和血液樣本。經過高質量的篩選,共獲得了489,490個高質量免疫細胞的單細胞轉錄組數據,包括髓系細胞、固有淋巴細胞、T細胞和B細胞。
研究結果
1. 晚期TNBC患者的免疫細胞動力學
本研究納入了22例晚期TNBC患者,其中一半采用紫杉醇單藥治療,另一半采用紫杉醇加阿替利珠單抗作為一線治療。根據有無乳房腫瘤或轉移性腫瘤進行收集樣本。腫瘤浸潤淋巴細胞(TILs)和PD-L1已經在紫杉醇加atezolizumab治療的腫瘤中進行了評估,因為它們在預測免疫治療反應方面很重要。盡管有反應者表現出較高水平的TILs和PD-L1,但并非所有具有這些特征的患者對抗PD-L1治療均有反應。作者團隊利用單細胞測序技術來表征具有不同臨床表現的TNBC患者的免疫特征和動力學,在基線、治療開始后4周和疾病進展時,共采集78例腫瘤活檢和血樣。對活檢樣本進行外顯子組測序,發現它們的基因組與癌癥基因組圖譜(TCGA)中常見的人類乳腺腫瘤基因一致。經過質量篩選,獲得了489,490個高質量免疫細胞的單細胞轉錄組數據,包括髓系細胞、先天淋巴樣細胞(ILCs)、T細胞和B細胞。有趣的是,B細胞主要富集于有反應性的腫瘤中,而髓細胞富集于聯合治療組無反應性的腫瘤中。治療后主要免疫細胞類型的動態變化,在兩組有效治療反應中B細胞減少,T細胞增加。
圖4. 晚期TNBC患者不同治療方案的免疫細胞動力學
基于Pi分析,發現B細胞是最顯著的免疫細胞類型,可以預測對兩種治療方案的良好反應,這與最近關于B細胞對ICB反應的預測作用的發現相一致。在Ti分析中,與化療相比,T細胞在聯合治療中明顯表現出Ti陽性,這表明阿特珠單抗可能通過提高T細胞水平來促進有效反應。
建立了兩個指標,預測指數(Pi)和治療指數(Ti),以系統地研究不同的免疫細胞類型與臨床反應的關系。Pi測量基線細胞比例與腫瘤大小變化之間的相關性,Ti測量細胞比例動態與腫瘤大小變化之間的相關性。Pi或Ti的陽性代表較高的基線水平或相應免疫細胞亞型細胞比例的增加與治療后腫瘤大小的降低水平較高相關,從而分別預測或介導良好的反應。陰性Pi或陰性Ti分別表示相應的免疫細胞亞型預測或介導不利反應。基于Pi分析和在Ti分析中顯示,發現B細胞是最顯著的免疫細胞類型,可以預測對兩種治療方案的良好反應。
2. CD8-CXCL13和CD4-CXCL13在聯合治療的TNBC腫瘤中擴增
上述分析表明,T細胞可能在PD-L1阻斷治療中發揮中心作用。基于在 TNBC 腫瘤中的高分辨率 T 細胞圖譜,確定了兩個高表達PDCD1和CXCL13 的T 細胞簇(CD8-CXCL13、CD4-CXCL13);三個 T 細胞群,包括幼稚 (Tn)、活化 (Tact) 和增殖 (Tprf) 亞群,其中包含 CD8 + 和 CD4 +T 細胞;和幾個典型的 CD8+ 或 CD4+T 細胞簇,包括調節性 (Treg)、中央記憶 (Tcm)、效應器 (Teff)、效應器記憶 (Tem)、組織駐留記憶 (Trm) 和粘膜相關不變 T (MAIT) ) 細胞子集。除了富含淋巴結 (LN) 的 Tn 和富含肝臟轉移部位的 MAIT外,這些 T 細胞亞群沒有表現出特別的組織偏好。值得注意的是,CD8-CXCL13 表達TIGIT、CTLA4和LAG3 的T 細胞耗竭相關基因,類似于之前研究中鑒定的 CD8-LAYN,而 CD4-CXCL13 不僅通過表達BHLHE40、TOX2和CXCR5表現出 1 型輔助性 T (Th1) 細胞和濾泡輔助性 ( Tfh ) 細胞的特征,但也表達了耗竭標記。CD8-CXCL13 和 CD4-CXCL13 的耗竭特征暗示了它們的腫瘤反應性,因為之前的研究表明,腫瘤反應性 T 細胞由于持續的腫瘤抗原刺激而表現出耗竭表型。此外,這兩個亞群連同T 調節細胞(Treg),基于匹配的 T 細胞受體 (TCR) 數據顯示出顯著的克隆擴增,進一步表明它們的抗原特異性。
為了破譯治療后的免疫細胞動力學,本文首先研究了紫杉醇對不同 T 細胞亞群的調節。與無反應者相比,有反應者表現出 CD8-CXCL13、CD4-CXCL13 和 Tregs 水平降低,伴隨著紫杉醇治療后 CD8 + Tem、Teff 和 CD4 + Tcm 細胞水平升高。有趣的是,CD8-CXCL13 和 CD4-CXCL13 在紫杉醇聯合阿替利珠單抗治療后有反應的患者中均擴增,導致聯合治療組中它們的分數高于治療后單獨紫杉醇。類似地,Ti分析還顯示在應答患者中,CD8-CXCL13和CD4-CXCL13細胞群聯合治療后出現克隆型擴增,在應答患者中紫杉醇治療后減少。這些觀察結果暗示了 CXCL13 +T 細胞與 PD-L1 阻斷的相關性。進一步利用單細胞免疫組庫測序(scTCR-seq)追蹤對聯合治療有反應的腫瘤中CXCL13 +T細胞的譜系起源,發現它們的擴增既包含已存在的克隆,也包含新浸潤的克隆。事實上,考慮克隆TCRs(克隆大小≥2)時,已有克隆的數量大于新滲透克隆。因此,在治療后,大量已經存在的克隆有助于CXCL13 +T細胞的擴增。在BC小鼠模型中,ICB治療后CD8 + PD-1 + LAG3 +T細胞增加,進一步證實了CD8- CXCL13與ICB治療的相關性。此外,也通過人基底細胞癌(BCC)的單細胞數據驗證,顯示ICB治療后CD8 + 耗盡T (Tex)細胞增加。
圖5. 腫瘤浸潤性 T 細胞亞群的時間動態
3. CXCL13 +T細胞和相關的 B 細胞預測對抗 PD-L1 免疫療法的有利反應
與對聯合治療耐藥的患者相比,有反應的患者表現出更高水平的基線 CD8-CXCL13 和 CD4-CXCL13,這意味著 CXCL13+T 細胞在塑造抗 PD-L1 治療的臨床結果中的重要性.。Pi 分析還表明,更高水平的 CXCL13 +T細胞可以預測對聯合治療的更好反應。除了 CXCL13+T 細胞,Tn-LEF1 盡管在 LN 中具有特定的富集,但也與對兩種治療方案的良好反應有關。基于 TCGA 的分析表明,乳腺腫瘤的浸潤性 CD8+ CXCL13 +T 細胞高于黑色素瘤和肺腫瘤,這與 BC 對 ICB 的響應率較低。通過多色免疫組織化學 (IHC) 染色進一步證實了 CD8-CXCL13 和 CD4-CXCL13 T 細胞在對聯合治療有反應的腫瘤中的存在。
TNBC 腫瘤中的 B 細胞包括兩個主要亞群,CD19 + B 和血漿 B (pB) 細胞,并且在聯合治療組中觀察到的反應者基線 CD19 + B 細胞水平高于無反應者。CD19 +B 細胞高度表達CXCR5,CXCL13 ( BCA-1 )的受體,表明它們與 CXCL13 + T 細胞的潛在聯系。事實上,作者觀察到 CD19 + T NBC 腫瘤中對紫杉醇加阿特珠單抗有反應的 B 細胞與 CD8-CXCL13 和 CD4-CXCL13 T 細胞。此外,還發現在人 BCC 中進行 ICB 治療后,CD19+ B 細胞與 CD8 + Tex 細胞在反應性患者中共同擴增。此外,與CD8 + CXCL13 +T細胞稀少的TCGA BRCA腫瘤相比,B細胞marker基因CD79A和CD19 以及CXCR5在含有大量 CD8 + CXCL13+T細胞的TCGA BRCA 腫瘤中高表達。通過比較應答性和非應答性腫瘤中B細胞的轉錄組差異,發現應答性腫瘤中富含高表達基因的B細胞參與了抗原處理和遞呈、干擾素(IFN)-g應答和T細胞激活的通路。相比之下,在無應答的腫瘤高表達基因中富集的B細胞參與了B細胞激活、免疫球蛋白的產生和體液免疫應答的通路。因此,B細胞在抗腫瘤免疫中的作用可能主要是激活CXCL13 +T細胞。
圖6. TNBC腫瘤中B細胞亞群的特點和動態變化
4.?聯合治療后,Bfoc和LTi細胞在TNBC腫瘤中一致擴增
研究發現 CD19 +??B 細胞包含未顯示特定組織富集的幼稚 B (Bn)、記憶 B (Bmem)、Bfoc、增殖 Bmem 和增殖 Bfoc 亞群的異質亞群。值得注意的是,Bn,Bmem和Bfoc細胞主要富集在響應于紫杉醇聯合阿替利珠單抗但不是在腫瘤響應于紫杉醇。
Bfoc 細胞的特征在于MEF2B、BCL6、RGS13和NEIL1的高表達。在兩個治療組中,響應者的基線 Bfoc 水平明顯高于無響應者, Pi 分析還顯示了 Bfoc 與有利的臨床反應之間的聯系。對于 B 細胞動力學,發現在接受紫杉醇治療的應答者中 Bfoc 降低,但在接受紫杉醇加 atezolizumab 治療的應答者中增加,表明 Bfoc 細胞與 阿替利珠單抗治療的相關性。重要的是,表征了不同B 細胞亞群的預后意義,并揭示了 Bfoc 是與 BRCA TCGA 患者的有利臨床結果相關的最重要的 B 細胞亞型。因此,Bfoc 似乎是對患者存活和 ICB 免疫治療最重要的 B 細胞亞群。
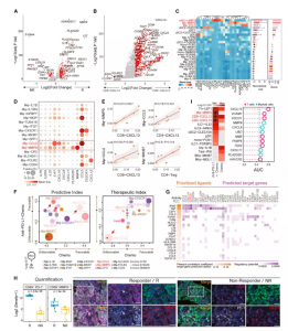
Bfoc 與其他免疫細胞的聯系(細胞通訊描繪細胞互作關系)。通過描繪相關的免疫細胞亞型,發現 CD4-CXCL13 和 CD8-CXCL13 與 Bfoc 的細胞比例表現出高度相關性,尤其是在后處理組中。這種聯系表明 Bfoc 可能與 CXCL13+T細胞相互作用,在抗腫瘤免疫中發揮作用。通過細胞通訊分析(基于配體-受體對),發現CXCR5在 Bfoc 子集中表現出最高的表達水平,包括 CD40LG-CD40、白細胞介素 (IL)21-IL21R 和 IL6ST-EBI3 在內的多個對可能介導 Bfoc 和 CD4- CXCL13。有趣的是,以CCR7、IL7R、GPR183、LTB(淋巴毒素)和IL23R表達為特征的 LTi 樣 ILC3(ILC3-IL7R)也與 Bfoc 高度相關,并在聯合治療后與 Bfoc 協同擴增,但在化療后沒有。值得注意的是,ILC3-IL7R 可以預測對兩種治療方案的有利反應,表明其在有效抗腫瘤免疫中的潛在作用。
5.?聯合治療后,TNBC腫瘤中cDC1(樹突狀細胞)擴增
CXCL13 +T?細胞在抗 PD-L1 治療中的重要性促使我們研究它們如何在某些 TNBC 患者中被激活和富集。由于TME 中的髓系細胞可以潛在地調節 T 細胞反應,接下來關注 TNBC 腫瘤中的髓系細胞。在這些主要亞群中,觀察到在基線和聯合治療而非化療治療后,應答者的 DCs 水平高于無應答者,支持他們在 ICB 治療中的作用。為了確定 TNBC 腫瘤中 DC 的特定亞群,進行了無監督聚類并基于它們的特征基因確定了以CCR7、LAMP3、CCL19、IDO1和PD-L1為特征的漿細胞樣 DC(pDC)、cDC1、成熟 DC(mDC 或 LAMP3 +??DC),和三個常規 DC2 (cDC2) 子集,包括朗格漢斯細胞(LCs, cDC2-CD207)、促炎和抗炎 cDC2 (cDC2-CLEC10A, cDC2-FCGR2B)。較高水平的基線 cDC1 和 pDC 可能表明對紫杉醇的反應良好,但這些 DC 亞群都不能表明對聯合治療的有利反應,這可能暗示 DC 亞群不是有效抗 PD-L1 治療的關鍵決定因素。
RNA 速度分析,cDC1 和促炎 cDC2 都可以轉化為 mDC,與人類肝癌和肺癌的發現一致,由于它們的轉錄相似性,mDC 與 TNBC 腫瘤中的 cDC1 緊密相連以及細胞比例的相關動態變化。對于接受紫杉醇加阿特珠單抗治療的患者,還觀察到,與 cDC1 和 pDC 的增加相反,治療后應答者的 mDC 下降,這可能是由于紫杉醇方案選擇性減少了 mDC。重要的是,與單獨使用紫杉醇相比,在使用紫杉醇聯合阿特珠單抗治療后有反應的患者中發現了更高水平的 cDC1、mDC 和 pDC,表明他們參與了抗 PD-L1 治療。Ti 分析進一步顯示 cDC1 和 pDC 與對聯合治療的有利反應有關,但與化療無關。值得注意的是,當也使用阿特珠單抗時,紫杉醇治療后 mDC 的減少受到抑制,表明其與 PD-L1 阻斷相關。mDC 和 cDC1 都表現出與 CD4-CXCL13 協調的時間動態,結果暗示 CD4-CXCL13 和 CD8-CXCL13 可能都被 cDC1 或 mDC 激活,正如最近的研究所暗示的那樣,同源 CD4 +?T 細胞許可 cDC1 誘導 CD8?+T?細胞免疫。
圖7. TNBC腫瘤中樹突狀細胞的時間動態
6.?巨噬細胞的表型與 T 細胞狀態有關
與聯合治療組中的反應者相比,無反應者表現出更高的巨噬細胞 (Mφ) 基線水平,并且富含無反應者的巨噬細胞高度表達SPP1、TREM2、FN1和C3,而富含應答者中高度表達CXCL9,MMP9,和PLA2G2D,表現出不同的特征模式。研究已表明TREM2和SPP1已被證明在抗炎腫瘤相關巨噬細胞 (TAM) 中表達,實驗發現單核細胞亞群高表達FCN1、S100A8和S100A9,而巨噬細胞亞群高表達CD68、APOE和 C1Q,類似于 TAM 的特征,TNBC 腫瘤中的巨噬細胞亞群傾向于共表達經典的 M1 和 M2 特征,與最近在人類乳腺癌和肺癌中的發現一致。兩個巨噬細胞亞群,MΦ-CCL2和MΦ-MMP9,以及mDC和其他DC亞型,都是排名最高的免疫亞型,表明它們與CXCL13?+T細胞相關。Mφ-MMP9 子集高度表達PLA2G2D、IL2RG和CXCL9,而 Mφ-CCL2 高度表達CXCL9、CXCL10和CXCL11,其中CXCL9 和 CXCL10 是已知介導 T 細胞募集的趨化因子,它們在 Mφ-MMP9 和 Mφ-CCL2 中的高表達支持這兩個巨噬細胞亞群的促炎特性。
圖8. TNBC腫瘤中巨噬細胞亞群與CXCL13??+T細胞的聯系
除了上述基于轉錄組的分析外,還檢查了免疫細胞比例,發現 Mφ-CCL2 和 Mφ-MMP9 也與CXCL13 +T細胞高度相關,表明巨噬細胞的促炎表型可能是由 TME 中的主動抗腫瘤免疫反應塑造的,Mφ-MMP9 和 CD8-CXCL13 在對紫杉醇加阿替利珠單抗有反應的腫瘤中同時富集。與 Mφ-CCL2 和 Mφ-MMP9 相比,Mφ-MKI67、Mφ-SLC40A1 和 Mφ-MGP 的基線水平與 Tregs 呈正相關,而 Mφ-CX3CR1、Mφ-TUBA1B 和 Mφ-FOLR2 與 Treg 呈負相關。發現紫杉醇方案選擇性地減少了Mφ-CCL2和Mφ-MMP9的促炎巨噬細胞,但增加了反應性患者的免疫抑制巨噬細胞,而atezolizumab似乎對巨噬細胞亞群影響不大。這些發現表明紫杉醇可能具有免疫抑制性 TME。
發現血液中較高水平的骨髓細胞(其中單核細胞主要占主導地位)可以預測對兩種治療方案的有利反應。血液中的單核細胞似乎可以部分反映 TME 的免疫特征,值得注意的是,沒有在血液中檢測到 cDC1,而是觀察到在反應性腫瘤中聯合治療后 cDC2 的增加。
7. CD8-CXCL13在抗pd – l1治療后細胞毒性增強
考慮到 CXCL13 + T 細胞在抗 PD-L1 治療中的重要性,接下來檢查了它們的治療誘導的轉錄動力學。基于 RNA 速度和 TCR 分析,CD8-CXCL13 顯示出與 CD8 + Tem 細胞的譜系聯系。轉錄組分析表明IFNG、GZMK、GZMA和CD44 的效應和記憶相關基因;TBX21、BHLHE40和BCL6 的轉錄因子 (TF) ;CD28和ICOS 的共刺激分子;以及 HLA 基因和整合素而耗盡相關的基因,包括被上調HAVCR2,LAYN,TIGIT,和LAG-3,CD8-CXCL13 的表型轉變也反映在其耗竭細胞評分降低和效應記憶細胞評分增加。此外,治療后 CD8-CXCL13 中上調的基因參與了 T 細胞介導的細胞毒性、抗原加工和呈遞以及 IFN-γ 介導的信號通路的正調節途徑,進一步表明其在 PD-L1 阻斷治療后增強的效應特性。
單細胞 ATAC-seq (scATAC-seq) 分析以檢查染色質可及性的變化,從五個樣本中獲得了 30,758 個免疫細胞的數據,包括來自接受紫杉醇加阿特珠單抗治療的反應性患者的配對樣本。基于我們對 scATAC-seq 和單細胞 RNA-seq (scRNA-seq) 數據的綜合分析(STAR 方法),確定了免疫細胞亞型。不同亞群的特征基因的染色質可及性證實了它們的細胞身份。CD8-CXCL13 細胞的表觀遺傳特征,顯示 T 細胞耗竭標志物的特定富集,包括PDCD1、LAG3和CTLA4與之前在小鼠模型、人類黑色素瘤和非小細胞肺癌中的研究所表征的CD8 + Tex 細胞一致。與染色質可及性特征中的其他 T 細胞亞型相比,CD8-CXCL13 和 CD8 + Tem 彼此更相似,這證實了它們在譜系分化的連續譜中的聯系。具體而言,CD8-CXCL13 和 CD8 + Tem 在IFNG、GZMK和PDCD1基因座中含有開放染色質區域 (OCR) 。然而,CD8-CXCL13顯示來自一個不同的細胞狀態CD8+ TEM,由于在它們的富集同時進行識別CXCL13,CTLA4和LAYN。
圖9. 聯合治療后反應性腫瘤中T細胞亞群的轉錄組學和表觀遺傳動力學
通過比較聯合治療前后的配對 scATAC-seq 數據,檢查了 CD8 + Tem、CD8-CXCL13 和 CD4-CXCL13染色質可及性的全局動態。每個 T 細胞亞群中差異 OCR 和相關基因的表征表明 CD8-CXCL13 細胞的效應子和記憶特性增強,其在CD44、CXCR4、KLRG1、XCL2、CST7、ICOS和CD28 中的可及性增強,而在衰竭相關的基因,如CREM和MYO7A。此外,差異可及峰中過度表達的 TF 結合基序(TFBMs)也證實了 CD8-CXCL13 的表型變化,CREM和RBPJ 的 TFBMs傾向于在預處理組中富集,而TBX21、EOMES和PRDM1 的那些富集在后處理組。因此,染色質可及性動力學揭示的發現與基于轉錄組的分析結果一致,兩者都支持聯合治療后 CD8-CXCL13 增強的效應特性。
血液中的 T 細胞,發現增殖的 T 細胞在基線時在應答者中富集,但在聯合治療后減少,可能是由于紫杉醇的影響。值得注意的是,沒有觀察到血液中的CXCL13 +T細胞,但發現血液中的 CD8 + Tem 細胞與腫瘤 CD8-CXCL13 共享更高水平的 TCR 克隆,并且在接受聯合治療的患者響應中也表現出升高的遷移指數。這些觀察表明,在 PD-L1 阻斷治療后有反應的患者中誘導了可檢測的全身免疫反應。
總結
本文通過單細胞轉錄組、單細胞ATAC、單細胞免疫組庫技術揭示anti-PD-L1免疫治療聯合化療在三陰性乳腺癌中應答關鍵的免疫細胞亞群,在TNBC腫瘤中,紫杉醇方案可以選擇性地減少關鍵的抗腫瘤免疫細胞,但提高免疫抑制巨噬細胞,因此可能不利于伴隨阿特珠單抗。在紫杉醇加 atezolizumab 治療后,Bfoc 而不是 pB 細胞與LTi細胞、CXCL13? +T 細胞和 cDC1 協同擴增,B 細胞可能通過與 CD4-CXCL13 相互作用并激活 CD4-CXCL13 來促進抗腫瘤免疫,CD4-CXCL13 可以幫助通過 cDC1 啟動 CD8-CXCL13。總的來說,本文突出了CXCL13? +T細胞在有效應對抗PD-L1療法方面的重要性,并表明通過紫杉醇療法減少這些細胞可能會損害伴隨阿特珠單抗 (Atezolizumab)進行TNBC治療的臨床結果。


京公網安備 11011302003368號