英文標題:
Hepatic?smallextracellular?vesicles?promote?microvascular?endothelial?hyperpermeabilityduring?NAFLD?via?novel-miRNA-7.
期刊:Journal?of?Nanobiotechnology
影響因子:10.435
合作單位:廣州中醫藥大學中藥學院?血管藥理研究團隊陳揚教授
DOI:10.1186/s12951-021-01137-3
背景介紹
非酒精性脂肪肝(Non-alcoholic?fatty?liver?disease,?NAFLD)是最常見的慢性肝病。近期研究發現,在非酒精性脂肪肝患者中,冠脈微循環障礙(Coronary?microvascular?dysfunction,?CMD)較為常見,并且能夠獨立于非酒精性脂肪肝因素而預測主要心臟不良事件的發生,但鮮有報道用于預測CMD的疾病標志物以及治療靶點。因此,開展NAFLD誘導冠狀動脈并發癥的機制研究具有重要意義。
材料方法
小鼠模型:C57BL/6N小鼠通過蛋氨酸膽堿缺陷飲食(MCD)和高脂肪飲食(HFD)構建NAFLD模型
測序技術:miRNA高通量測序技術
主要結果
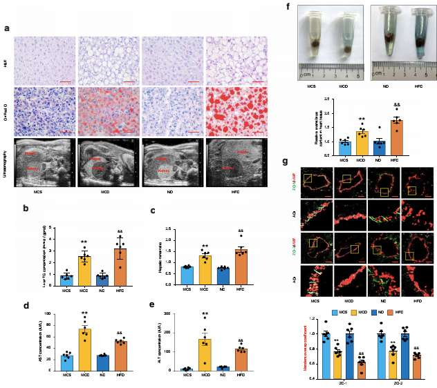
一、NAFLD小鼠冠狀動脈微血管的內皮細胞通透性增強
為建立小鼠NAFLD模型,作者分別給雄性C57BL/6?N小鼠喂食MCD?4周或HFD?16周。結果顯示,MCD飲食和HFD喂食均誘導了NAFLD拌嚴重肝臟脂肪變性的預期特征(圖1A)。肝內甘油三酯積累(圖1A、B)、肝-腎比的升高(圖1A、C)、轉氨酶活性升高(圖1D、E)。值得注意的是,小鼠喂食高脂膳食增加了體重和肝臟重量以及發展的血脂異常。相反,喂食MCD的小鼠不會出現與人類NAFLD相關的代謝綜合征。隨后,作者通過測量伊文思藍滲漏來估計MCD和HFD誘導的NAFLD小鼠冠狀動脈微血管的通透性變化。如圖1F所示,深藍色表示NAFLD小鼠的冠狀動脈微血管比對照組小鼠更具滲透性。此外,ZO-1/2與血管內皮標志物血友病因子(vWF)的相對熒光強度比顯示,MCD組和HFD組冠狀動脈微血管內皮細胞中ZO-1/2的完整性均明顯降低。綜上所述,這些結果表明,在NAFLD期間,冠狀動脈微血管發生了內皮屏障功能障礙,而這并不依賴于其代謝特征。

圖1:NAFLD小鼠冠狀動脈微血管內皮通透性增強
二、NLRP3炎癥小體介導NAFLD小鼠冠狀動脈微血管內皮高通透性
為了探討NAFLD過程中微血管通透性變化的上游機制,作者利用GeneCards數據庫中的人類微血管高通透性靶點進行GO和KEGG富集分析。GO富集的結果表明,細胞因子活性和細胞因子受體結合在微血管高通透性的發展中起重要作用。為了確定關鍵的介質,作者從這兩個途徑中篩選出了共同的基因(圖2B)。KEGG通路富集結果表明,目的基因主要富集于Toll樣受體(TLR)信號通路、非酒精性脂肪肝和Nod樣受體(NLR)信號通路NLRP3是NLR家族中最重要的成員,需要TLR和NLR通路參與形成免疫酶體并介導IL-1β、IL-18和HMGB1的釋放。說明NLRP3免疫酶體參與微血管高通透性的形成。作者給NLRP3+/+和NLRP3-/-小鼠喂食MCD飲食或HFD。NAFLD小鼠冠狀動脈微血管內皮中裂解半胱天冬酶-1和IL-1β的表達水平明顯升高,而NLRP3基因則明顯地改善了這些影響(圖2C、D)。此外,NLRP3-/-小鼠的心臟組織中IL-1β和HMGB1的含量也降低了。相應地,通過NLRP3基因敲除,NAFLD小鼠的冠狀動脈微血管中ZO-1/2完整性和內皮細胞高通透性的破壞在冠狀動脈微血管中顯著恢復(圖2E-H)。這些結果表明,NAFLD冠狀動脈的微血管內皮屏障完整性的破壞是由NLRP3免疫酶體的激活介導的。

圖2:NLRP3炎癥小體介導NAFLD小鼠冠狀動脈微血管內皮高通透性
三、循環NAFLD肝源性外泌體誘導冠狀動脈微血管中NLRP3免疫酶體依賴性的內皮細胞高通透性
為了探討肝臟外泌體在促進微血管內皮高通透性中的作用,作者對收集的外泌體通過WB分析檢測了HSP70、CD63和TSG101等典型標志物的表達(圖3A-C)。兩種模型的肝臟外泌體的濃度和平均大小均無變化。然后,作者通過尾靜脈將DiR標記的肝臟外泌體注射到小鼠體內。12?小時后用活體光學成像系統觀察心臟、肺、肝、脾組織的熒光信號,發現肝臟外泌體通過循環到達心臟、肺、肝、脾。隨后,將從NAFLD小鼠或對照組小鼠的肝組織衍生的外泌體注射到NLRP3+/+和NLRP3-/-小鼠中。結果顯示,MCD和HFD中肝源性外泌體均能誘導冠狀動脈微血管內皮中caspase-1裂解和IL-1β的表達,而NLRP3基因的表達明顯逆轉了這些影響(圖3E、F)。此外,NAFLD肝源性外泌體增強了NLRP3+/+小鼠心臟HMGB1和IL-1β的含量,但對NLRP3-/-小鼠沒有增強。相應地,NLRP3基因敲除恢復了循環NAFLD肝源性外泌體誘導的ZO-1/2損傷和微血管高通透性。這些體內實驗結果顯示,肝源性外泌體在NAFLD冠狀動脈微血管中的?NLRP3?炎癥小體依賴性內皮高通透性中具有刺激作用。此外,循環NAFLD肝源性外泌體顯著誘導肺微血管高通透性,但是沒有改變肝組織和脾臟組織的通透性。

圖3:循環NAFLD肝源性外泌體誘導冠狀動脈微血管中NLRP3免疫酶體依賴性的內皮細胞高通透性
四、NAFLD肝源性外泌體通過激活組織蛋白酶B/NLRP3免疫激酶體軸誘導微血管內皮細胞高通透性
作者進一步通過微血管內皮細胞通過體外實驗分析了肝臟外泌體的作用。作者將MVECs與DiI標記的肝臟外泌體孵育8小時。結果表明,肝臟外泌體可被MVECs內化,而這種缺陷被一種內吞抑制劑明顯阻斷(圖4A)。Z-stack構建的三維細胞模型顯示NAFLD肝源性外泌體的孵育促進了caspase-1的裂解、IL-1β的成熟和HMGB1的釋放,但不影響NLRP3蛋白的表達(圖4B)。使用一種選擇性NLRP3免疫酶體抑制劑進行流式細胞術分析,進一步證實NLRP3免疫酶體的激活(圖4C).此外,NAFLD肝源性外泌體顯著降低了ZO-1/2的表達(圖4D),增加了內皮單層中FITC-葡聚糖分子的數量。作者通過轉染NLRP3?siRNA(siNLRP3),進一步驗證了NLRP3基因沉默的效果。與預期的一樣,siNLRP3顯著降低了caspase-1的活性,改善了微血管內膜整體完整性。溶酶體膜通透性升高(LMP)誘導的溶酶體組織蛋白酶B逃逸和激活是NLRP3免疫酶體激活的一個重要機制。因此,作者用吖啶橙(AO)染色法檢測肝臟外泌體對LMP的影響,用魔紅(MR)染色法檢測組織蛋白酶B活性。結果表明,NAFLD肝臟外泌體可顯著促進溶酶體通透性,誘導組織蛋白酶B滲漏。此外,特異性組織蛋白酶B抑制劑CA-074的存在顯著抑制了NLRP3免疫激酶體的激活(圖4G),并改善了微血管內皮細胞的高通透性(圖4H)。綜上所述,這些結果表明NAFLD肝源性外泌體顯著激活組織蛋白酶B/NLRP3免疫酶體軸,進而促進HMGB1的釋放,誘導微血管內皮高滲能力。

圖4:NAFLD肝源性外泌體通過激活組織蛋白酶B/NLRP3免疫激酶體軸誘導微血管內皮細胞高通透性
五、NAFLD含有novel-miR-7肝源性外泌體觸發NLRP3免疫酶體相關的內皮細胞高通透性
為了研究NAFLD肝源性外泌體如何誘導NLRP3免疫酶體相關的內皮細胞高通透性,作者對來自MCS和MCDg的肝源性外泌體進行了miRNA測序。10個具有最顯著的miRNAs,其中novel-miR-7的差異最顯著(圖5A)。novel-miR-7在NAFLD肝臟和血漿外泌體中顯著升高(圖5B、C)。此外,NAFLD肝臟外泌體的孵育導致MVECs中novel-miR-7的顯著表達。隨后,作者通過轉染novel-miR-7類似物來研究novel-miR-7對MVECs的影響。結果表示過表達novel-miR-7顯著促進溶酶體通透性,增加組織蛋白酶B活性(圖5E、F)。在過表達novel-miR-7的細胞中,caspase-1的裂解、IL-1β的成熟和HMGB1的釋放的水平增加,而NLRP3的表達沒有變化(圖5G、H)。因此,novel-miR-7類似物顯著降低了ZO-1/2的表達(圖5G),并誘導了微血管內皮細胞的高通透性(圖5I)。這些數據表明,novel-miR-7可以作為一個重要的肝臟外泌體標志物。作者進行了miRNA靶基因預測,發現LAMP1是noivel-miR-7的靶基因。LAMP1被稱為溶酶體膜糖蛋白,是調節LMP的關鍵。雙熒光素酶報告基因檢測的結果顯示,與pGL3-LAMP1-3’UTR質粒共轉染后,熒光強度顯著降低(圖5J)。此外,noivel-miR-7類似物顯著降低了LAMP1蛋白的表達(圖5K)。總之,作者的研究結果表明,noivel-miR-7直接靶向LAMP1的3’-UTR并誘導溶酶體通透性,進而觸發組織蛋白酶B/NLRP3免疫激酶體軸,促進微血管內皮細胞的高通透性。

圖5:NAFLD含有novel-miR-7肝源性外泌體觸發NLRP3免疫酶體相關的內皮細胞高通透性
六、novel-miR-7的基因抑制可改善NAFLD肝源性外泌體誘導的微血管內皮高通透性
為了證實novel-miR-7在NAFLD過程中調節肝臟外泌體誘導的微血管內皮通透性中的重要作用,作者用一種特殊的novel-miR-7抑制劑轉染MVECs,發現novel-miR-7基因抑制劑恢復了溶酶體滲透性并改善NAFLD肝臟外泌體誘導的組織蛋白酶B滲漏(圖6A、B)。與這些結果一致的是,novel-miR-7抑制劑顯著抑制了caspase-1的裂解、IL-1β的成熟和HMGB1的釋放(圖6C-G)。此外,抑制novel-miR-7顯著恢復了ZO-1/2的表達(圖6C、E),并改善了微血管內皮細胞的高通透性(圖6H)。綜上所述,這些數據表明,novel-miR-7基因誘導能夠通過調節蛋白中和NAFLD肝誘導的微血管內皮高通透性。作者還在體內初步驗證了novel-miR-7抑制劑的治療效果。結果表明,novel-miR-7抑制劑不能改善代謝不良MCD飲食或HFD引起的代謝性紊亂和肝損傷,然而,novel-miR-7顯著降低心臟組織中IL-1β和HMGB1的含量,提示抑制NLRP3免疫酶活性和促炎癥細胞因子的釋放。此外,novel-miR-7顯著降低了心臟和肺的微血管高通透性,這表明novel-miR-7可能作為NAFLD微血管并發癥的潛在治療靶點。

圖6:novel-miR-7的基因抑制可改善NAFLD肝源性外泌體誘導的微血管內皮高通透性
七、脂肪變性肝細胞是novel-miR-7的重要來源
為了探索含有novel-miR-7的肝外泌體的來源,作者用100μmol/L棕櫚酸(PA)處理人肝細胞細胞系HepG2、Huh7和L0218h,誘導了細胞內脂質的積累,但沒有導致細胞死亡。結果顯示,novel-miR-7在脂肪變性肝細胞來源的外泌體中顯著豐富(圖7A)。然后作者用novel-miR-7抑制劑或NC抑制劑轉染了人的微血管內皮細胞系1(HMEC-1),并用HepG2衍生的外泌體處理24小時。結果顯示,PA-sev導致的LAMP1/組織蛋白酶B/NLRP3免疫軸被novel-miR-7抑制劑明顯消除(圖7B-D)。此外,novel-miR-7抑制劑恢復了PA-sev誘導的緊密連接破壞和微血管內皮高通透性(圖7B,E)。這些結果表明,脂肪變性肝細胞是含有novel-miR-7的肝外泌體的重要來源,脂肪變性肝細胞來源的外泌體能夠通過novel-miR-7促進NLRP3免疫酶體依賴的微血管內皮高通透性。

圖6:novel-miR-7的基因抑制可改善NAFLD肝源性外泌體誘導的微血管內皮高通透性
總結
在本研究中,作者通過大量結論表明在NAFLD期間,冠狀動脈微血管發生內皮細胞的高通透性。肝內脂質水平的增強可誘導富含novel-miR-7的肝臟外泌體的分泌,通過調節LAMP1/組織蛋白酶B/NLRP3炎癥小體信號通路,促進微血管內皮細胞的高通透性。此外,脂肪變性肝細胞是含有novel-miR-7外泌體的一個重要來源,而對novel-miR-7的基因抑制可以改善微血管內皮屏障的完整性。本研究為肝臟-心臟間器官交流的具體機制帶來了新的見解,并證實novel-miR-7有潛力成為冠脈微血管損傷的疾病標志物和治療靶點。
如果您對該篇文章思路感興趣,歡迎點擊下方按鈕聯系我們,我們將免費為您設計文章思路方案。




京公網安備 11011302003368號