英文名稱:The PILNCR1-miR399 regulatory module is important for??low-phosphate tolerance in maize
中文名稱:PILNCR1-miR399在玉米低磷脅迫下發揮重要作用
發表期刊:Plant Physiology
影響因子:5.949
發表單位:中國農業科學院作科所李文學課題組
材料和方法:磷高效玉米CCM454和磷低效玉米31778用250uMPO43-或5uMPO43-進行處理達到磷缺乏或充足條件,處理2天和8天的根和地上部分做鏈特異性建庫
實驗方法:玉米穩轉、煙草和玉米原生質體瞬轉、qPCR、NorthernBlot、原位雜交、5,RACE等
摘要:擬南芥中microRNA399(miR399)/PHOSPHATE2(PHO2)途徑介導的缺磷(P)適應性響應調控已得到較為充分研究,但玉米中的相關研究則少之又少。該研究發現,在磷酸鹽(Pi)缺乏條件下,玉米miR399轉錄本被強烈誘導。過表達MIR399b的轉基因玉米在其芽中積累了過量的P,并且具有典型的Pi毒性表型。研究人員用額外的1165bp的5’非翻譯區重新注釋了ZmPHO2。miR399介導的ZmPHO2轉錄后抑制主要出現在磷高效株系中。采用鏈特異性RNA建庫方法鑒定出缺Pi誘導的長鏈非編碼RNA1(PILNCR1)。在本氏煙和玉米葉原生質體中瞬時表達測定結果表明,PILNCR1抑制ZmmiR399介導的ZmPHO2切割。磷低效株系中PILNCR1的豐度顯著高于磷高效株系,這與ZmmiR399轉錄本的豐度一致。該研究結果表明,PILNCR1和miR399之間的相互作用在玉米耐低磷方面具有重要作用。
研究背景
盡管土壤中總的磷含量很高,但由于無機磷酸鹽的移動性差、溶解性低,導致土壤中能夠被植物直接吸收利用的有效磷濃度很低,使植物處于一種低磷脅迫的亞健康狀態。磷的有效性已經成為限制作物生產的主要環境因素之一。植物在長期的進化過程中形成了一系列適應低磷脅迫的機制,以充分利用自身特性來提高抗逆能力。不同玉米自交系對低磷脅迫的響應不同,解析磷高效和磷低效玉米品種適應低磷脅迫分子機制的差異,有助于篩選和培育磷高效玉米品種。miR399-PHO2調控通路參與植物適應低磷脅迫分子機制在擬南芥和水稻中研究的比較清楚,而玉米中還沒有報道。
該研究揭示了PILNCR1-miR399互作及miR399-PHO2調控通路在不同磷利用效率玉米自交系中具有不同的作用方式,這對于培育磷高效玉米品種具有重要意義。
研究結果
1、Pi缺乏時ZmmiR399上調
PHO2在擬南芥、水稻和大麥中已經被證實是miR399的靶標,但是在玉米中預測ZmmiR399的靶標不包含PHO2和類PHO2基因,于是我們去調查miR99在玉米中的生物學功能。首先,我們調查了在磷充足(250uMPO43-)和缺乏(5uMPO43-)水培溶液中ZmmiR399的響應。在磷酸鹽缺乏處理的第八天出現了表型差異,在P缺乏的玉米上表現出典型的P缺乏表型,在老葉上有黃酮類物質的積累。
為了測定在P缺乏時ZmmiR399的表達,我們執行了一個隨Pi缺乏處理時間的增長,ZmmiR399在玉米根和地上部分表達情況的檢測,如圖1A。在Pi脅迫下,ZmmiR399的表達水平在玉米的根和地上部分都有大幅度的增加,且ZmmiR399的表達量肯定是和Pi缺乏的時間是相關的。

圖1:MIR399b過表達轉化玉米在水培下的表型,A,smallRNAnorthernblot顯示在Pi缺乏的玉米根和地上部分的miR399是上調的;B,水培下的MIR399b過表達玉米的Pi中毒表型;C,Pi缺乏條件下,野生型和突變體玉米中根和地上部分的P濃度;D,Pi缺乏條件下,野生型和突變體的根和地上部分的干重。
2、ZmMIR399過表達的轉化玉米植株在地上部分的P積累
為了進一步調查ZmMIR399的功能,我們構建了ZmMIR399b過表達的轉化玉米植株,利用農桿菌作為中介將ZmMIR399b的前提序列導入玉米自交系ZZCO1未成熟的胚胎中,根據ZmMIR399b的表達情況,選出了兩個獨立的轉化時間,圖1B。在水培條件下評估ZmMIR399b過表達轉化玉米對低Pi的應答。由于ZmPHTs是ZmMIR399的潛在靶標,且PHT與PHO2不是同系物,所以在擬南芥和水稻中的miR399過表達植株中出現的P中毒表型不會出現在玉米的轉化株中,但是在Pi缺乏條件下,ZmMIR399b過表達的玉米植株出現了典型的P中毒表型,在老葉的頂端和邊緣有萎黃或壞死,見1B。在Pi缺乏條件下,ZmMIR399b過表達的玉米老葉的P濃度是野生型的2倍,見圖1C。而在根中,野生型的總P濃度比轉化玉米的濃度高16-25%,見圖1C。相比之下,在P缺乏條件下野生型和轉化株根和地上部分的干重是相似的。
3、ZmPHO2是ZmmiR399的靶標
ZmMIR399b過表達的玉米在P缺乏條件下的p中毒的表型在擬南芥的pho2突變體的表型得到了重現,所以這引發我們去研究ZmMIR399b過表達的玉米中的ZmPHO2的轉錄水平,即使ZmPHO2不是ZmmiR3999的預測靶標。在玉米中,GRMZM2G381709和GRMZM2G464572與擬南芥中的PHO2是同源的。在MaizeGDB上,我們發現GRMZM2G381709和GRMZM2G464572的cDNA序列是一致的,因此我們設計了引物,在ZmMIR399b的過表達轉化玉米中去檢測GRMZM2G381709和GRMZM2G464572的轉錄本。
如圖2A,ZmMIR399b過表達顯著降低了玉米中GRMZM2G381709/GRMZM2G464572的表達水平,為了進一步檢測GRMZM2G381709/GRMZM2G464572與ZmmiR399的的關系,我們首先證實了GRMZM2G381709和GRMZM2G464572在玉米中的注釋,我們使用5,RACE,克隆到一個1276bp的一個片段。通過MaizeGDB,我們在原來預測到的GRMZM2G381709的5,UTR加上一個1165bp的一個片段。進一步的分析顯示,新克隆的GRMZM2G381709的5,UTR有6個ZmmiR399的切割位點。感興趣的是,我們對ZmPHO2的5,RACE產物的30個克隆進行測序,發現每一個片段都屬于GRMZM2G381709,這說明在玉米中有很少或沒有GRMZM2G464572的轉錄本。GRMZM2G381709被叫做ZmPHO2。
我們接下來用兩個miR399結構(ZmMIR399b和ZmMIR399bmut將6個突變引入到ZmMIR399b的成熟序列中)在煙草中做瞬時轉化。如圖2B,當與ZmMIR399b共表達時,ZmPHO2轉錄本顯著增加,但是與ZmMIR399bmut共表達時卻不受影響(見圖2C)。另外,我們使用缺pi脅迫六天的玉米苗子的RNA,通過5,RACE檢測到6個ZmPHO2的預測靶標中的4個,見圖2D。這些結果顯示,在玉米中ZmPHO2是ZmmiR399的靶標,miR399-PHO2調控模塊在玉米中是保守的,和在擬南芥和水稻中一樣。

圖2:ZmPHO2被miR399轉錄后調控。A,qPCR檢測過表達轉化株的ZmPHO2轉錄本的表達;B、C,通過northernblot檢測MIR399b/MIR399bmut和ZmPHO2在煙草中的表達;D,通過5,RACE檢測ZmPHO2的切割位點
4、在磷高效和磷低效玉米中檢測ZmmiR399和ZmPHO2的表達水平
之前根據磷高效株系CCM454和磷低效株系31778在pi缺乏條件下的RNA-seq轉錄組分析,我們鑒定到了差異表達基因有22個miRNA屬于10個miRNA家族,包括miRNA399家族。在本研究中,我們執行了一個時序實驗來檢測在磷高效和磷低效株系中的ZmmiR399的表達水平。如圖3A,在pi缺乏條件下的磷高效株系CCM454和磷低效株系31778中ZmmiR399的表達量都是上調的。意外地是,如圖3A,miR399誘導的ZmPHO2后轉錄抑制僅在CCM454中檢測到。與此相反,在31778株系中,在pi缺乏下,ZmmiR399的表達雖然是增加的,但是ZmPHO2的轉錄本也是上調的。
為了驗證這些結果,我們還檢測了另外三株磷低效株系(FR19、1538、J1419)和三株磷高效株系(X114、HAI9-21、Q1261)的ZmmiR399的表達,這些株系是通過560個株系中鑒定出來的。如圖3B,其結果與在31778和CCM454中是一致的,除了Q1261以外。在磷缺乏處理7天后,ZmPHO2轉錄本在磷高效株系中是下調的,在磷低效株系中是上調的。
為了進一步驗證在低磷脅迫的玉米中miRNA/PHO2之間的關系,用磷低效株Qi205和磷高效株CCM454進行雜交,構建分離群體。從F2:3家系中隨機選擇出來100個株系去確定水培條件下的低磷脅迫情況。選擇出10個最耐和10個最感的株系,再從剩余的80個株系中選出來10個株系作為對照。在低磷脅迫下,這些株系的ZmmiR399是上調的。在磷高效株系中,觀察到通過ZmmiR399誘導的ZmPHO2是下調的。這些結果表明,在玉米中miR399誘導的ZmOHO2后轉錄抑制增加了對磷缺乏的耐性。

圖3:在磷高效和磷低效玉米株系中miR399的表達分析。A,在玉米自交系31778和CCM454中miR399和ZmPHO2轉錄本的表達;B,在其他玉米株系中miR399和ZmPHO2轉錄本的表達
5、與ZmmiR399相關的lncRNA的鑒定
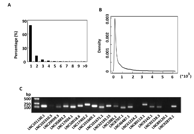
為了闡明ZmmiR399誘導的ZmPHO2的調控在磷高效和磷低效玉米植株中的差異,我們首先在不同玉米植株中檢查ZmmiR399與ZmPHO2結合位點的序列。除了Q1261以外,在磷高效株和磷低效株中ZmmiR399與ZmPHO2結合位點的序列是一致的。這表明在玉米中其他調控機制影響miR399誘導的ZmPHO2的表達。一種可能就是lncRNA。為了證實這種可能,我們利用低P脅迫2天和8天的林高效玉米CCM454和磷低效玉米31778的根和地上部分,構建鏈特異性文庫。使用HISAT2和StringTie,一共從組裝的轉錄組中鑒定到178771個定向轉錄本,然后用FEELnc和alignment-free軟件進行評估,最終72429個轉錄本被鑒定出來,包含46972個lincRNAs,2511個lncNATs和1217個incRNAs。與之前的研究相一致,被鑒定出來的大多數(79%)lncRNAs由單個外顯子組成,如圖4A。lncRNA基因是相對短的,平均長度是788bp,僅有18%的lncRNA基因的長度是超過1kb的,見圖4B。為了進一步證實預測到的lncRNA基因,我們隨機選擇了19個lincRNAs在低磷脅迫7天的玉米RNA進行克隆。隨機選出的19個lincRNA中的16個通過RT-PCR被證實,見圖4C。這些lncRNA通過測序被證實,這些結果也說明了我們的結果是可信的。

圖4:玉米lncRNAs的鑒定。A,每個lncRNA轉錄本的外顯子分布;B,lncRNA的外顯子長度密度分布;C,RT-PCR證實隨機選擇的lncRNA
6、PILNCR1抑制ZmmiR399誘導ZmPHO2的切割
如圖5A,由于lncRNA819包含ZmmiRNAd的一段互補區域,所以它吸引了我們的注意力。使用3,和5,RACE,一個不包含內含子的677bp的cDNA的序列被克隆出來。如圖5B,在磷高效玉米CCM454和磷低效玉米31778植株中,lncRNA819被磷缺乏誘導顯著表達,因此我們將lncRNA819叫做PILNCR1。
在之前的西紅柿和擬南芥的報道中,在番茄中有TPSI家族中的好幾個基因包含有miR399的互補區域。在這個家族中較大的成員是IPS1和其同源基因At4在擬南芥中影響miR399的切割。不像在擬南芥中,IPS1和At4編碼一個保守肽,PILNCR1在玉米中缺乏編碼肽的潛能。另外,在玉米中有3個候選ZmIPS1/ZmAt4。由于MaizeGDB的注釋有低置信度,GRMZM2G086179不做進一步的考慮。GRMZM5G843352和GRMZM2G436295從DNA相反鏈的同一位置轉錄出來。做cDNA序列比對分析之后,發現PILNCR1與GRMZM5G843352和GRMZM2G436295沒有同源性。進一步的共線性分析顯示,PILNCR1和AtIPS1/AtAT4s不在同一條染色體上。以上結果總結顯示,PILNCR1和AtIPS1/AtAT4s之間存在特征性差異。然后我們在本氏煙和玉米葉片的原生質體中執行瞬時表達去驗證PILNCR1是否能影響植物中miR399的切割。
我們測試了兩個PILNCR1結構:一個全長的PILNCR1和一個刪掉了miR399的互補區域的結構(PILNCR1del)與本氏煙共表達兩天后,提取RNA,通過RT-qPCR分析ZmPHO2的表達。見圖5C,當ZmmiR399b和PILNCR1共表達時,ZmPHO2的表達被ZmmiR399b顯著降低。然而,當ZmmiR399b與PILNCR1del共表達時,ZmPHO2的表達水平被顯著降低,說明PILNCR1的互補區域對ZmmiR399的調控是非常重要的。圖5D,當ZmmiR399b與玉米葉片的原生質體共表達時,同樣的結果也被獲得了。這些結果表明PILNCR1能有效較少ZmmiR399b的效應。

圖5:PILNCR1對ZmmiR399誘導的ZmPHO2切割的影響。A,玉米中PILNCR1與miR399b之間的互補區域示意圖;B,RT-qPCR實驗驗證在p缺乏條件下的磷高效玉米CCN454和磷低效玉米31778中PILNCR1的表達;C,本氏煙中miR399、ZmPHO2、PILNCR1和PILNCR1del不同組合的共表達;D,玉米葉片原生質體中miR399和PILNCR1組合的共表達
7、ZmmiR399b和PILNCR1的表達模式
為了進一步揭示ZmmiR399b和PILNCR1之間可能的關系,我們通過原位雜交驗證ZmmiR399b和PILNCR1的表達模式。由于在磷充足條件下,ZmmiR399b和PILNCR1在玉米中的豐度比較低,于是去在pi缺乏條件下的第7天的玉米根和地上部分來驗證ZmmiR399b和PILNCR1表達模式。ZmmiR399b和PILNCR1在玉米的根和地上部分均能被檢測到,尤其是在維管束里,見圖6A-B。這些結果顯示ZmmiR399b和PILNCR1的空間定位至少有部分是重合的。

圖6:ZmmiR399b和PILNCR1在玉米中的累積模式
8、PILNCR1與玉米低磷脅迫是相關的
為了進一步調查玉米低磷脅迫時PILNCR1的功能,我們通過RT-qPCR,檢測在磷高效玉米(CCM454、X114、HAI9-21、Q1261)和磷低效玉米(31778、FR19/1538、J1419)中PILNCR1的表達量。在pi缺乏條件下,在磷高效株和磷低效株中PILNCR1的表達量都是低的,見圖7。然而,當玉米收到低P脅迫7天后,磷低效玉米株中的PILNCR1的表達量是磷高效株中的6倍。

圖7:在磷高效和磷低效玉米葉片中PILNCR1的表達
總結
本研究發現在玉米中miR399特異性受低磷脅迫誘導上調表達;同時在miR399過表達的轉基因玉米植株中磷由根部向地上部轉運增多,導致轉基因植株的成熟葉片邊緣出現干枯壞死的磷中毒表型,表明miR399對于玉米體內磷穩態平衡具有重要作用。研究人員通過實驗證實玉米中PHO2是miR399的靶基因,并對其進行重新注釋,表明miR399-PHO2調控通路在玉米、擬南芥、水稻中是保守的。研究還發現玉米中miR399介導的PHO2轉錄后水平的切割主要出現在磷高效玉米自交系中。同時研究人員發現了一種長鏈非編碼RNA——PILNCR1可與PHO2競爭性結合miR399,削弱了miR399對靶基因PHO2的剪切;并且在低磷脅迫條件下,磷低效玉米自交系中PILNCR1和miR399的表達豐度顯著高于磷高效玉米自交系,高表達量的PILNCR1會結合較多的miR399,從而導致靶基因PHO2上調表達,表明PILNCR1和miR399的表達量與玉米耐受低磷脅迫的能力相關。


京公網安備 11011302003368號