單細胞單細胞研究如火如荼,但是單細胞水平往往忽略細胞在空間位置上的異質性,為了彌補空間位置信息的缺失,利用空間轉錄組學技術優勢探索空間位置上細胞的異質性。
空間轉錄組學先后在 Nature Methods(2020)、Nature(2022)被評為年度應用技術。然而隨著空間轉錄組學研究的深入,現階段技術的通量和分辨率不足以支撐其更√準的多層次空間結構的分析。
2022年4月百邁客百創智造推出多年研發的亞細胞級別空間轉錄組測序技術,不僅打破了國外芯片技術的壟斷,還突破了分辨率和檢測通量的局限,成為“亞細胞級分辨率”和“微孔”結合的原位捕獲空間轉錄組測序技術,全面邁入國產化的空間轉錄組的亞細胞技術時代。
百創S1000空間組學平臺介紹
??百創S1000空間轉錄組測序技術結合了微孔和原位捕獲技術,并整合了二代測序平臺、三代PacBio與三代Nanopore和下游的高通量測序數據分析系統解決方案,實現在亞細胞分辨率水平進行原位捕獲、異位測序,√準獲取全轉錄組在空間原位表達的信息。以更高分辨率解決亞細胞空間異質性等難題,廣泛應用生物器官發育、腫瘤異質性、神經科學、免疫感染、脅迫應激、生物進化等方向。將成為臨床醫學和基礎科學研究中強有力的工具,開啟“亞細胞”時空研究新視角,極大推動醫療等領域研究在空間維度的深度發展。
技 術 原 理
百創S1000-亞細胞級微孔空間轉錄組芯片基于微孔膠珠上Spatial barcode特定的序列實現空間定位,檢測組織切片上捕獲3′ mRNA空間基因表達信息。每張芯片可以兼容1-8個捕獲區域,每個捕獲區域包含>200萬個spot捕獲點,其分辨率可達到5μm(spot 直徑距離2.5μm,兩個spot中心點間距為5μm),Spatial barcode微珠種類數約為6000萬種,每個微珠表面都帶有數以百萬計的特定條形碼序列,微珠特殊結構是實現有效定位和定量檢測的基礎。每一個spot捕獲點管壁利用激光雕刻無數的微孔,大量的微珠牢固結合在每個spot的微孔,通過原位測序技術,確定了每一張芯片Spatial barcode與空間坐標位置的映射關系,將Poly(dT)VN捕獲到3′ polyA mRNA還原其空間位置信息,設計的UMI用于區分不同的轉錄本實現mRNA 有效定量檢測。其標準文庫的Spatial barcode空間定位條形碼序列長度為50bp,具體結構如下圖所示:

圖1?百創S1000芯片結構示意圖
數據分析流程
研發的百創S1000數據分析流程和工具軟件包:BSTMatrix可用于空間表達矩陣獲取兼容下游第三方軟件分析,亞細胞分辨率supspot level實現100μm~5μm多級分辨率數據挖掘分析,高效便捷在線可視化BSTViewer助你輕松獲取不同分辨率下可視化結果。

圖2?BSTViewer?不同分辨率下可視化結果示意圖
產 品 優 勢
百創S1000亞細胞高分辨率空間轉錄組技術將給你帶來不一樣的體驗,在分辨率和檢測有效度等方面具有核心技術優勢。
1.?亞細胞分辨率,可實現特定組織區域分子定位
百創S1000分辨率可達到5μm,相比目前國外空間轉錄組測序芯片精度提高了近400倍,高分辨率下HE染色組織形態學與spots聚類空間分布圖重合度更高,有效識別空間基因表達的異質性和組織區域的特異性。

圖3?百創S1000?胚胎亞細胞分辨率空間轉錄組檢測結果
2.?支持多級分辨率水平分析,有效檢測空間多層次結構
百創S1000芯片spot直徑為2.5um, 可針對組織亞群在多級分辨率下再聚類分群,高分辨率下組織區域聚類結果增多,有效識別邊界區域的特定層空間區域分析

圖4?百創S1000?胚胎亞群亞細胞分辨率下空間轉錄組檢測
3. 操作簡單,可保留完整的組織形態
百創S1000?空間轉錄組測序兼容HE染色,可大程度保留原始的組織形態完整性。

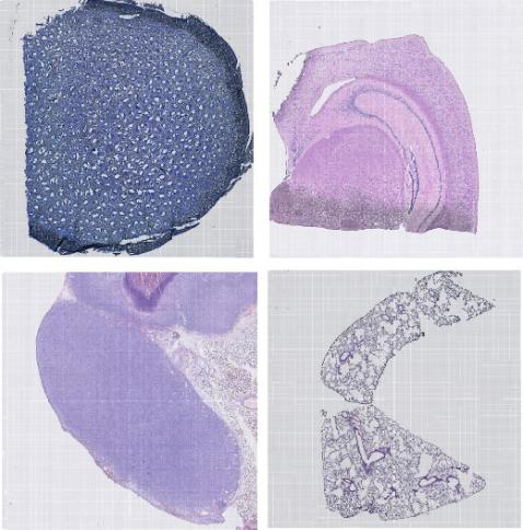
圖5?百創S1000專業組織結構成像
4.?百萬級別原位信息可視化展示,讓空間多層異質性一覽無余
利用百創S1000 ?BSTMatrix智能化可視化平臺,高度還原組織形態學和百萬級別空間位置分子信息的結合,直觀呈現復雜的多層次組織結構亞細胞級別可視化圖譜。

圖6?腦海馬亞細胞分辨率空間轉錄組檢測
5.?捕獲區域大
每個捕獲區域的面積為6.8×6.8mm2,可實現較大組織的空間表達分析
6.?靈活應用
實現捕獲區域定制化,可同時分析8個樣本,節約成本的同時避免批次效應。
7.?適用樣本類型全面
適用于人、動物、植物等物種的大多數組織類型。
8.?高通量
檢測整個組織重點全部基因表達信息。
9.?兼容性強
可兼容現有的二代、三代pacbio和三代ONT主流測序平臺,下游數據分析可與主流的seurat、R包等兼容,進行數據深入挖掘分析。
適 用 場 景
高分辨率價值在于可在微小組織、腫瘤組織、細胞類型亞型分析、識別未知細胞等方面發揮得天獨厚的優勢,百創S1000 亞細胞分辨率可以適用不同個體、組織、發育時期,適用現階段任何組織空間分析信息的獲取,正式開啟間轉錄組測序亞細胞時代。

圖7?高分辨下適用場景



京公網安備 11011302003368號